|
|
|
|
 |
|
Gallery Before and After
Click on buttons below
|
 |
 |
 |
 |
 |
|
|
EYELINER
|
|
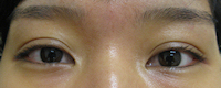
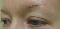
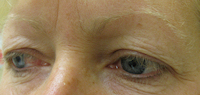
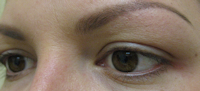
Permanent Eyeliner, Eyelash Enhancement
Permanent eyeliner is applied above or below or between the lashes to enhance the eyes’ appearance, gives the illusion of thicker lashes and defines the eyes, but also prevents the smudging of the pencil or liquid eyeliner during sports, sweating, crying or rubbing the eyes. Emphasising your eyes with customised permanent eyeliner, designed eyeshadow or subtle lash enhancement can create the look of natural beauty or professionally applied cosmetic.
|
|
|
|
|
|
|
Permanent, Makeup, Eyebrows, Eyeliner, Lips, Procedures, Tattoo, Cosmetic Tattooing, Micro Pigmentation, Toronto, North York, Concord, Richmond Hill, Thornhill, Vaughan, Woodbridge, Newmarket, Missisauga, Oakville, Scarborough by BBeautyStudio |
|
|
|
|
|
Toronto, Richmond Hill, Vaughan, Concord, Thornhill, Woodbridge, Maple, Markham, Bradford, Keswick, North York, Pickering, Brampton, Etobicoke, Newmarket, Missisauga, Oakville, Scarborough, Aurora, Bolton. |